“股骨头坏死是不是治不好?”“髋部疼就是股骨头坏死吗?”“年…… 【详情】
一提到股骨头坏死,很多人就会和“截肢”“终身残疾”画上等…… 【详情】
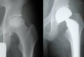
髋关节是人体负重的“核心枢纽”,而股骨头坏死作为中老年人高发…… 【详情】
髋关节疼痛、活动受限的困扰,让不少股骨头坏死患者在治疗之外,更…… 【详情】
股骨头坏死前期,骨骼尚未严重塌陷,但髋部疼痛、活动受限等症状已悄…… 【详情】
020-29856886
分型分期诊疗中心
多学科联合会诊中心
疗效跟踪回访中心